Introduzione
L’igiene orale quotidiana è uno dei pilastri fondamentali per mantenere denti e gengive sani nel tempo. Quasi tutti sanno che bisogna lavarsi i denti ogni giorno, ma pochi immaginano quanto gli errori quotidiani, ripetuti per anni, possano incidere sulla salute della bocca.
Tecniche scorrette, strumenti inadeguati o abitudini sbagliate possono infatti favorire carie, sensibilità dentale, gengiviti e persino parodontite.
In questo articolo il Dott. Merli Nicola del Centro Salute Orale di Rimini analizza in modo chiaro e pratico gli errori più frequenti nell’igiene orale quotidiana, spiegando perché sono dannosi e come correggerli definitivamente con piccole modifiche alla routine.
Spazzolare i denti troppo velocemente nell’igiene quotidiana
Il primo errore è anche il più diffuso: molte persone dedicano alla pulizia dei denti meno di un minuto, spesso senza raggiungere tutte le superfici.
Perché è un problema
La placca dentale impiega almeno due minuti per essere rimossa in modo efficace: tempi inferiori lasciano residui, soprattutto nelle zone posteriori.
Soluzione
- Usa un timer o uno spazzolino elettrico con indicatore di tempo.
- Dividi la bocca in quattro quadranti e spazzola ogni area per 30 secondi.
Usare troppa forza durante lo spazzolamento nell’igiene orale quotidiana
Molti pensano che “più forte si spazzola, meglio si pulisce”. In realtà è vero il contrario.
Problemi causati dalla pressione eccessiva
- Recessione gengivale
- Abrasioni dello smalto
- Maggiore sensibilità dentale
Soluzione
Utilizza movimenti delicati e controllati. Se hai uno spazzolino elettrico, scegli un modello con sensore di pressione.
Utilizzare uno spazzolino non adatto o troppo vecchio
Lo strumento è importante quanto la tecnica.
Errori comuni
- Setole dure che traumatizzano gengive e smalto
- Testina troppo grande che non raggiunge i molari
- Setole aperte o consumate oltre i 3 mesi
Soluzione
- Preferisci setole morbide o medium.
- Scegli testine piccole.
- Cambia spazzolino ogni 3 mesi o appena le setole si aprono.

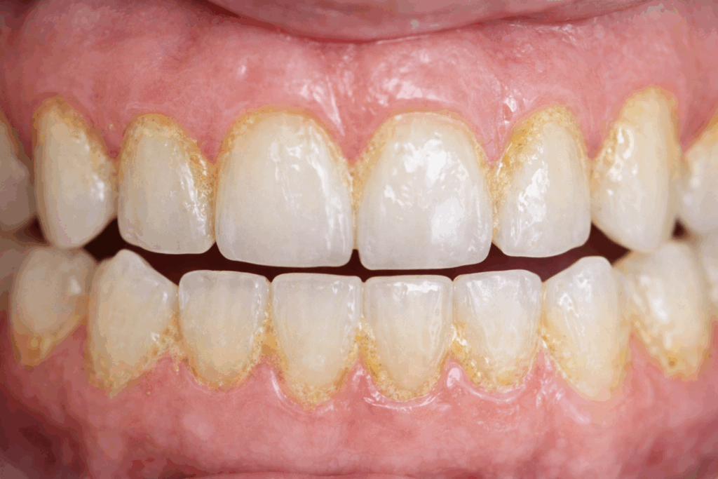
Dimenticare il filo interdentale nell’igiene orale quotidiana
La maggior parte dei pazienti pulisce bene le superfici esterne, ma trascura gli spazi tra i
denti.
Perché è un errore nell’igiene orale quotidiana
Tra due denti si accumula fino al 40% della placca totale. Il filo è l’unico strumento in
grado di pulire completamente quelle zone.
Soluzione
- Usa il filo ogni sera, senza eccezioni.
- Per spazi stretti: filo cerato.
- Per spazi larghi o gengive retratte: scovolini interdentali.
Non pulire la lingua nell’igiene orale quotidiana
La lingua ospita milioni di batteri che possono generare alitosi, placca e infiammazione
gengivale.
Soluzione
Utilizza un puliscilingua o le setole dello spazzolino, passando dalla parte più posteriore
della lingua verso l’esterno.
Sciacquare subito dopo aver usato il dentifricio
Questo è un errore poco conosciuto ma molto frequente.
Perché è dannoso
Risciacquare vigorosamente elimina il fluoro presente nel dentifricio, riducendo la protezione contro carie e sensibilità.
Soluzione
Dopo aver spazzolato, sputa la schiuma ma non sciacquare. Se proprio devi farlo, usa pochissima acqua.
Sostituire lo spazzolamento con il collutorio nell’igiene orale quotidiana

Il collutorio è uno strumento utile ma non può sostituire la rimozione meccanica della placca.
Perché è un errore nell’igiene orale quotidiana
- Non rimuove la placca.
- Può irritare le mucose se contiene alcool.
- Se usato senza indicazione specifica può alterare il microbiota orale.
Soluzione
Usalo solo su consiglio del dentista e come complemento, non come sostituto dello spazzolino.
Spazzolare subito dopo aver mangiato
Dopo pasti acidi (succo di limone, aranciata, yogurt, vino) lo smalto è più vulnerabile.
Perché è un errore
Lo spazzolamento immediato aumenta il rischio di erosione dello smalto.
Soluzione
Attendi 20–30 minuti. Nell’attesa puoi:
- sciacquare la bocca con acqua
- usare chewing gum allo xilitolo
Ignorare il margine gengivale
Molti pazienti spazzolano i denti in modo corretto… ma non le gengive.
Perché è importante nell’igiene orale quotidiana
La placca tende ad accumularsi proprio dove il dente incontra la gengiva, la zona più a rischio per gengivite e parodontite.
Soluzione
Inclina lo spazzolino a 45° verso il bordo gengivale e usa movimenti piccoli e delicati.
Rinunciare all’igiene professionale
Anche la migliore igiene domestica non basta da sola.
Perché è un errore
Il tartaro non può essere rimosso con strumenti domiciliari. Se trascurato, causa irritazione gengivale e peggioramento della salute parodontale.
Soluzione
Effettua la pulizia professionale ogni 4–6 mesi, o secondo il rischio individuale.
Errore bonus: credere che “una tecnica valga l’altra” nell’igiene orale quotidiana
Ogni bocca è diversa. Non esiste una tecnica universale valida per tutti:
- pazienti con apparecchi
- portatori di impianti
- persone con sanguinamento gengivale
- pazienti con parodontite necessitano di protocolli personalizzati.
Nel nostro studio, ogni seduta di igiene professionale include un’analisi della tecnica domiciliare, così da correggere eventuali errori e rendere il paziente autonomo.

FAQ – Igiene orale quotidiana
Almeno due volte al giorno, per due minuti ciascuna.
Lo spazzolino elettrico è spesso più efficace, ma anche quello manuale funziona bene se usato correttamente.
Sì, perché pulisce le zone dove lo spazzolino non arriva.
Solo se consigliato dall’odontoiatra. Non sostituisce spazzolino e filo.
Conclusione
L’igiene orale quotidiana non è fatta solo di gesti, ma di gesti corretti. Molti errori, apparentemente innocui, possono trasformarsi in problemi importanti nel tempo: carie, gengiviti, sensibilità dentale o addirittura parodontite. La buona notizia è che basta modificare poche abitudini per ottenere risultati enormi.
Una pulizia eseguita nel modo giusto, con gli strumenti adeguati e la giusta costanza, permette di mantenere la bocca sana, prevenire le malattie e proteggere gli investimenti fatti in cure odontoiatriche.
Se hai dubbi su come eseguire correttamente l’igiene o se desideri un protocollo personalizzato, durante le visite presso il nostro Centro potrai ricevere una valutazione completa e consigli specifici per la tua situazione.
La salute della bocca inizia a casa, ogni giorno: scegli di farlo nel modo giusto.
Al Centro Salute Orale ti accompagniamo in questo percorso con un approccio personalizzato, basato su prevenzione, motivazione e trattamenti su misura.
Prenota una visita specialistica a Rimini o Bologna.
